La Rehabilitación Oral es la especialidad de la odontología que se dedica al diagnóstico, plan de tratamiento, rehabilitación y mantención de las funciones orales, tales como la masticación y fonoarticulación, así como la estética de personas con condiciones clínicas tales como dientes perdidos, fracturados o desgastados, como también de tejidos maxilofaciales, utilizando para ello biomateriales compatibles para su restauración y rehabilitación.
Entre las patologias asociadas se encuentran caries, traumatismo dentoalveolar, ausencia o pérdida de dientes, alteraciones dentarias y faciales que afectan la estética. Además de la evaluación odontológica previa de los pacientes con cáncer y la resolución prótesica de pacientes que experimenten secuelas producto de esta enfermedad. El tratamiento es realizado mediante prótesis removibles o fijas, prótesis sobre implantes, carillas de porcelana, obturaciones en resina, blanqueamientos, entre otros.
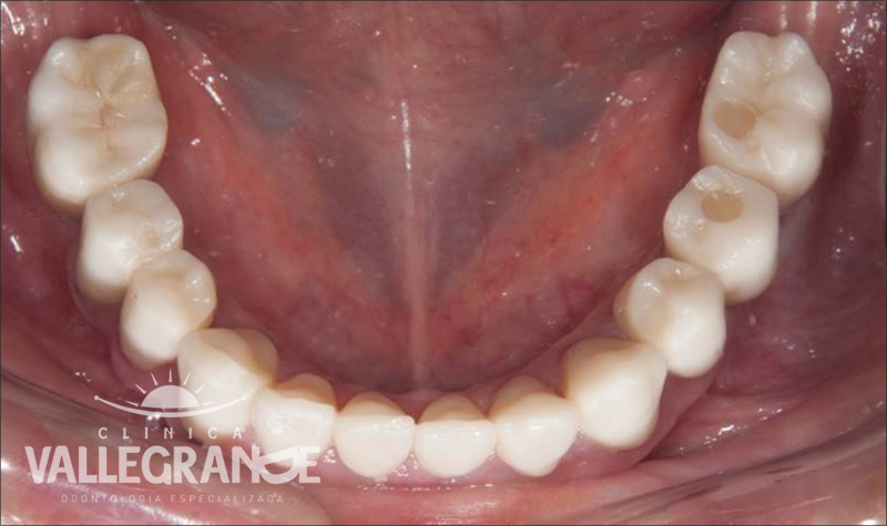
PROTESIS FIJA (CORONA) SOBRE DIENTES
Es aquella protesis que se realiza para rehabilitar dientes dañados o perdidos, usando como pilares los dientes naturales. Son fijas debido a que están cementadas, por ende, no pueden ser retiradas por el paciente. Pueden ser unitarias para un diente (corona) o plurales para varios (puente).
PROTESIS SOBRE IMPLANTES
Es aquella protesis que se realiza para rehabilitar dientes perdidos usando como pilar los implantes . Son fijas debido a que pueden ser cementadas o atornilladas y no pueden ser retiradas por el paciente . Pueden ser unitarias para un diente (corona sobre implante) o plurales para varios (puente sobre implante).
PROTESIS REMOVIBLES
Las prótesis dentales removibles son aquellas protesis que se realizan para rehabilitar una, varias o todos los dientes y molares. Son removibles debido a que el paciente puede sacarlas y volver ponerlas en boca. Pueden ser totales (reemplazan todos los dientes )o parciales (reemplazan algunos dientes)y pueden dividirse en metalicas y/o acrilicas.
CARILLAS
Las carillas es un tratamiento rehabilitador-restaurador de la zona anterior (visible)de los dientes, con el fin de corregir problemas estéticos o patológicos dentales ocasionados por lesiones de caries , restauraciones previas, fracturas, manchas ,dientes desalineados ,desgastados ,cambios de color , alteraciones de la forma dental o con separacion anormal. Son finas láminas, pudiendo estar confeccionadas en su mayoria de ceramica o bien de resina compuesta.

Cirujano dentista que se especializó 3 años con dedicación exclusiva en Rehabilitación Oral de la Universidad de Chile, titulandose con distinción máxima. Así mismo, realizó un diplomado en Implantología Oral Quirúrgico-Protésico en la Universidad de Valparaíso, casa de estudios donde también realizó sus estudios de pregrado.
contactar